
Cas de rinoplàstia: reducció del dors nasal
Com ja havíem comentat alguna vegada en aquest blog, la rinoplàstia és una de les cirurgies estètiques que més es realitzen a Espanya. Concretament a

Com ja havíem comentat alguna vegada en aquest blog, la rinoplàstia és una de les cirurgies estètiques que més es realitzen a Espanya. Concretament a

Segurament, hauràs escoltat molt sobre el lifting facial i els seus efectes, així com cremes rejovenidores i altres. La realitat és que la imatge personal

La càries dental és la desmineralització de la dent, és a dir, “l’espai” que es forma a la dent. Aquesta desmineralització no es deu a

Com ja hem comentat a blogs anteriors, els implants dentals són una de les millors opcions de tractament per substituir dents i molars perduts. Està

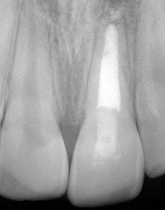
Coneixes el tractament d’endodòncia? Potser, quan reps la noticia de necessitar-ne un et quedis parat i et sorgeixin dubtes i preguntes sobre aquest tipus de

Segurament ja hauràs escoltat parlar de les maloclusions dentàries. És un problema que es detecta a la infantesa i és necessari resoldre’l. De fet, hi

T’agrada somriure? A mi també! I a qui no, oi? I si, a més a més, comptes amb unes dents blanques, encara millor. Les nostres

Actualment, si engegues el teu PC, mòbil o tauleta i accedeixes a Internet, trobaràs amb molta facilitat a persones de diferents llocs que donen a

Has escoltat alguna vegada a parlar sobre la periimplantitis? Es tracta d’un procés inflamatori que té lloc, com bé podies imaginar, als implants. Els implants

A propos de nous