
Was ist ein Zahninlay?
Vielleicht haben Sie schon einmal von Inlays und Onlays gehört, aber vielleicht ist Ihnen nicht ganz klar, was das ist… In diesem Beitrag erklärt die

Vielleicht haben Sie schon einmal von Inlays und Onlays gehört, aber vielleicht ist Ihnen nicht ganz klar, was das ist… In diesem Beitrag erklärt die

Wir alle haben zu Beginn insgesamt 32 Zähne im Mund, aber nicht alle von uns behalten sie ein Leben lang. In der Säuglings- und Jugendphase

Sie haben wahrscheinlich schon von Mundpilz gehört. Technisch gesehen heißt er Candidiasis und wird durch einen Pilz namens Candida albicans verursacht . Wir haben diesen

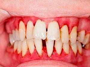
Ich bin sicher, Sie alle wissen, was die berühmte Gingivitis ist. Wenn Sie eine Gingivitis haben, ist Ihr Zahnfleisch entzündet, und diese Entzündung führt dazu,

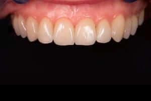
Sich mit seinem Lächeln wohl zu fühlen, ist ein allgemeiner Wunsch. Wir alle möchten in der Lage sein, jeden Moment mit einem attraktiven Lächeln zu

Bei der Kronenverlängerung handelt es sich um einen kleinen, minimalinvasiven chirurgischen Eingriff, bei dem die Kontur des Zahnfleischs und des Gewebes und in vielen Fällen

Mund-, Kiefer- und Gesichtschirurgie. Atlas de Procedimientos y Técnicas Quirúrgicas, ein Nachschlagewerk, das soeben von der Sociedad Española de Cirugía Oral y Maxilofacial y de

sie wünschen sich ein schönes Lächeln mit geraden Zähnen, aber eine herkömmliche Bracket-Behandlung ist unansehnlich? Nun, heute gibt es eine Lösung für die traditionelle Zahnspange,

Von Prognathismus spricht man, wenn die Zähne des Unterkiefers weiter vorangeschritten sind als die des Oberkiefers und so ein charakteristisches Gesichtsprofil ergeben. Es gibt drei
