Klinischer Fall von Zahnveneers – Oscar
Zahnharmonie in einer einzigen Behandlung
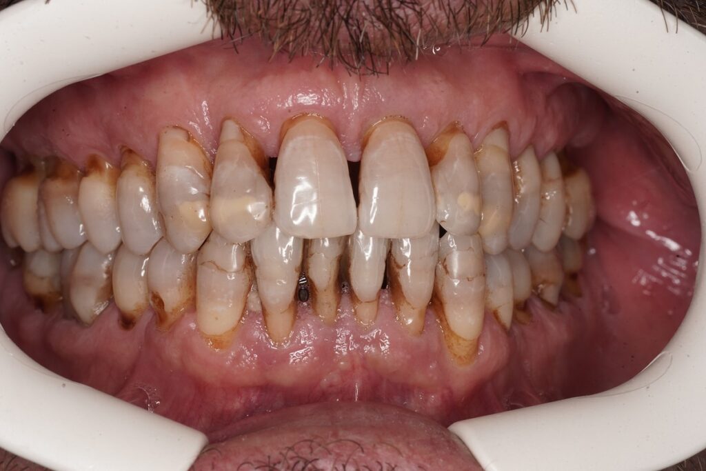
Oscar suchte nach einer ästhetischen Lösung, die seine Physiognomie respektierte und sein Lächeln verschönerte. Sein Lächeln war durch eine dunkle Zahnfarbe aufgrund der Einnahme von Tetracyclin als Antibiotikum in der Kindheit, Zahnfleischrückgang und Unebenheiten an seinen Vorder- und Unterzähnen gekennzeichnet.
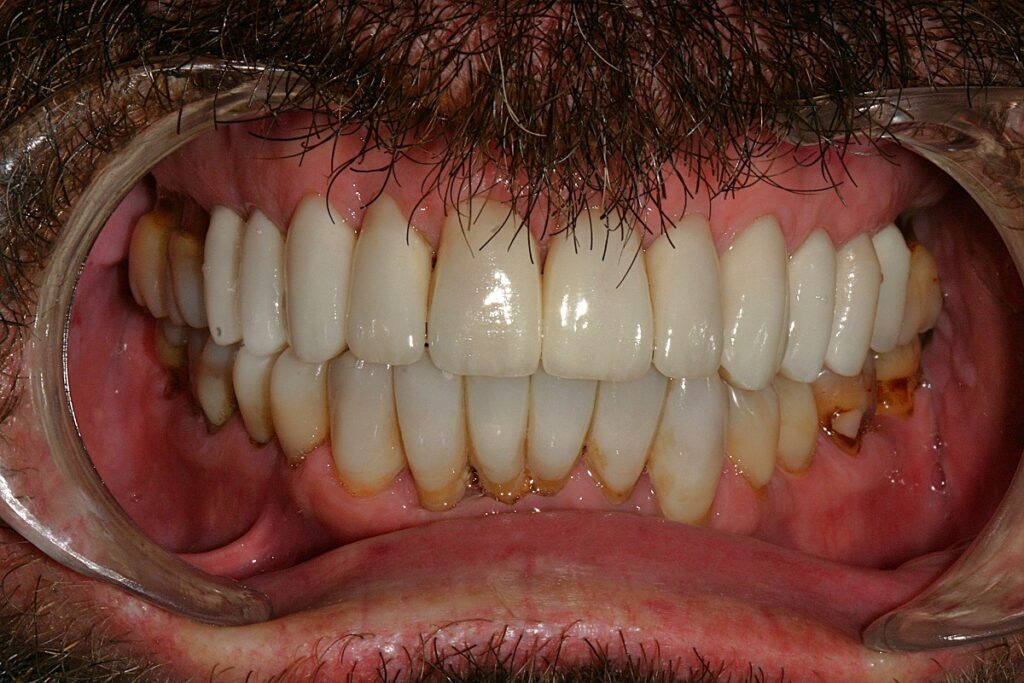
Durch den Einsatz individueller Keramikveneers erreichen wir eine perfekte Integration mit Ihrem restlichen Gebiss. El uso de fotografías digitales y diseño 3D nos permitió previsualizar el resultado final antes de comenzar el tratamiento, paso que facilito su decisión a tratarse.
Bevor die Veneers angebracht wurden, mussten wir ihr Zahnfleisch behandeln, das an einer Parodontitis litt.
Ergebnis: ein erneuertes, elegantes und proportionales Lächeln.
Digitale Planung ist der Schlüssel zum Erreichen vorhersehbarer und personalisierter Ergebnisse.
Ehemals


Dann


