Klinischer Fall von Zahnveneers – Alejandra
Eine vollständige und subtile ästhetische Transformation
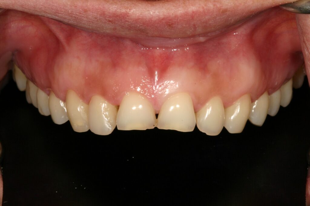
Alejandra kam mit einem klaren Ziel zu uns: Ihr Lächeln zu verbessern, ohne dass es künstlich aussieht. Sein Fall hatte eine Mikrodiastemie, einen dumpfen Tonus und leichte Fehlstellungen.
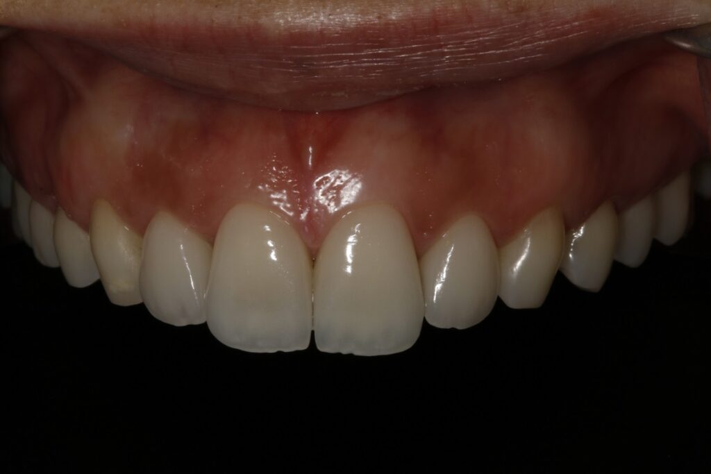
Wir setzen uns für ein natürliches Lächeln mit maßgefertigten Zahnveneers ein, wobei die Natürlichkeit und der Respekt vor Ihrer Zahnstruktur im Vordergrund stehen.
Ergebnis: ebenmäßiges, strahlendes Lächeln mit perfekter Gesichtsharmonie.
Eine Veränderung, die die Zahnästhetik verbessert, ohne das Wesentliche des Gesichts des Patienten zu verlieren.
Ehemals



Dann



