Klinischer Fall von Zahnveneers – Ingrid
Vom matten zum strahlenden Lächeln
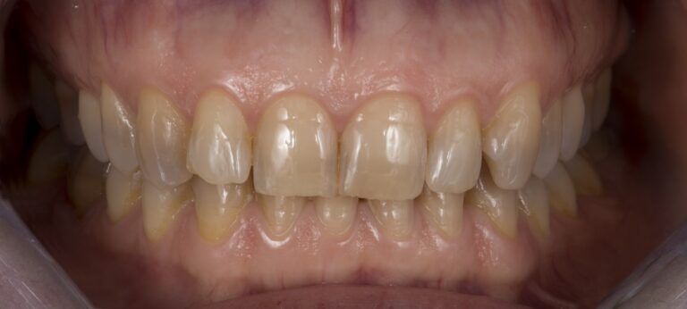
Ingrid wollte die Farbe und Ausrichtung ihrer Zähne verbessern, die von Verfärbungen, Rissen und kleinen Brüchen an den Schneidekanten betroffen waren. Ihr Ziel war es, ein strahlendes, natürliches Lächeln zurückzugewinnen, das ihre Persönlichkeit widerspiegelte und ihrem Alter entsprach.
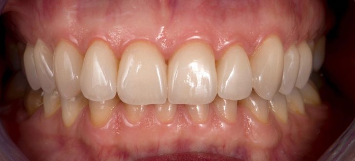
Wir entwickelten einen Behandlungsplan mit ultradünnen Keramikveneers. So konnten wir die Farbe und kleine Unregelmäßigkeiten korrigieren und die Form ihrer Zähne verbessern, indem wir einige Zähne minimalinvasiv abschliffen, während wir andere Zähne ganz abschliffen.
Das Ergebnis: ein strahlendes, natürliches Lächeln in nur zwei Sitzungen.
Mit Veneers können Sie Ihr Lächeln verwandeln, ohne die ursprüngliche Zahnstruktur zu verändern.
Ehemals



