Klinischer Fall von Zahnveneers - Luís
Ein harmonisches Lächeln dank Zahnveneers
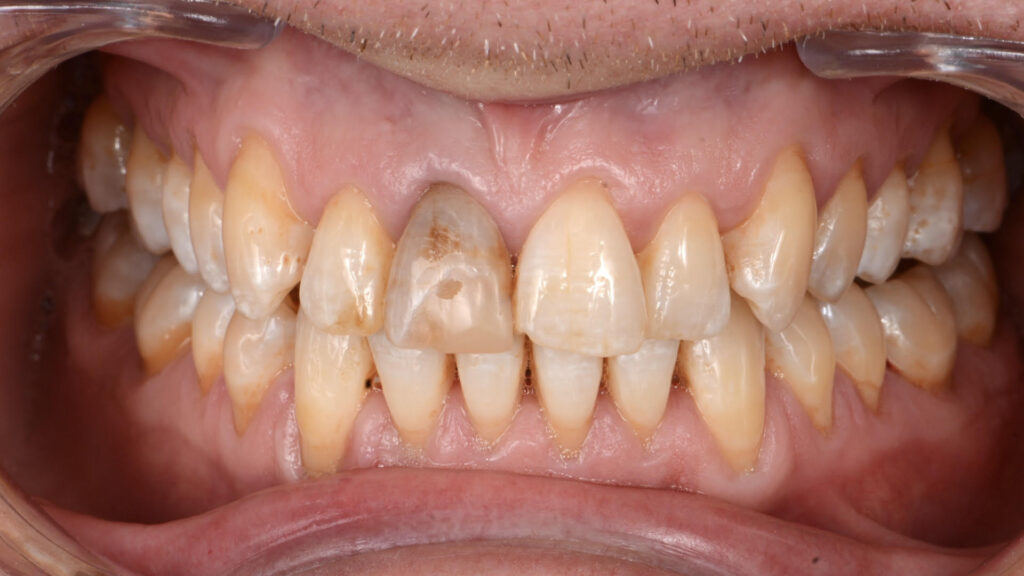
Luís kam in die Clínica Birbe mit dem Wunsch, die Ästhetik seines Lächelns zu verbessern. Die oberen Schneidezähne wiesen eine gewisse Asymmetrie auf und hatten unterschiedliche, zum Teil sehr dunkle Farbtöne, die ein gealtertes Aussehen ergaben.
Nach einer individuellen digitalen Studie entschieden wir uns für eine Behandlung mit Porzellanveneers, die es uns ermöglichten, die Länge, Farbe und natürliche Form ihrer Zähne wiederherzustellen und so ein ausgeglicheneres und verjüngtes Lächeln zu erreichen.
Das Ergebnis: ein natürliches, symmetrisches und harmonisches Lächeln, ohne dass eine Kieferorthopädie oder größere Eingriffe erforderlich sind.
Minimalinvasive Behandlung, ideal für alle, die eine schnelle und dauerhafte ästhetische Veränderung wünschen.
Ehemals

Dann

