Cas de morsure ouverte
Jaime est un garçon qui s’est adressé à la clinique BIRBE par l’intermédiaire de son orthodontiste en raison d’un problème d’occlusion. Jaime a suivi un traitement orthodontique à l’adolescence qui s’est répété au fil des ans, car le cas de Jaime n’était pas seulement orthodontique, mais aussi chirurgical.
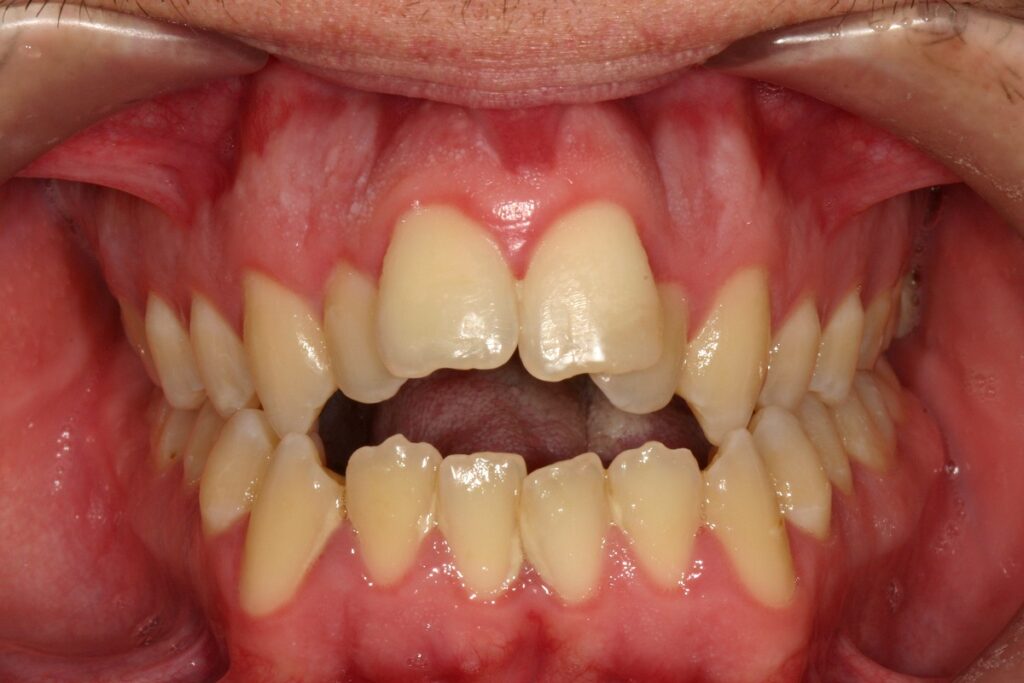
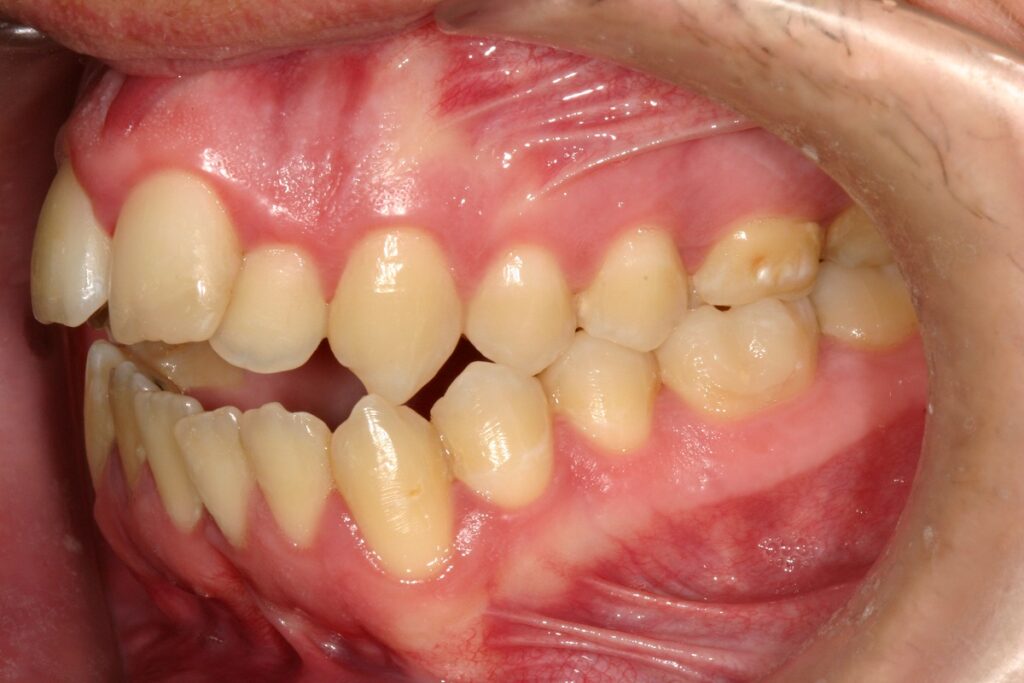
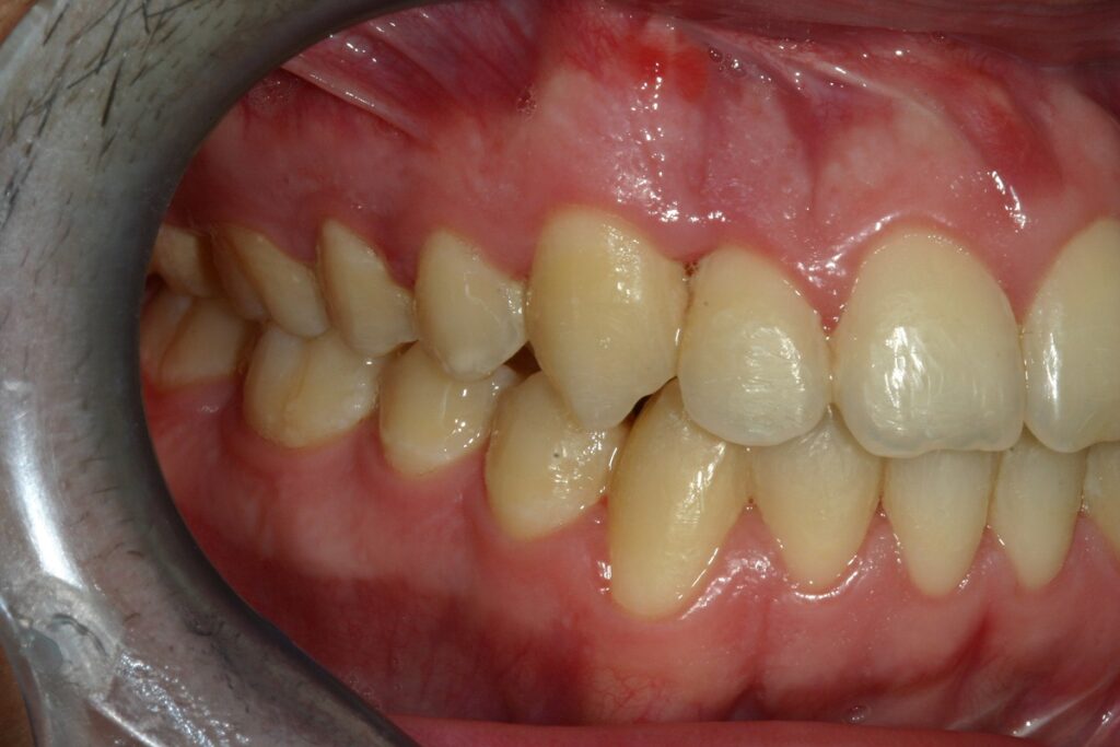
Jaime a 23 ans, son visage est allongé, il présente une malocclusion dentaire, une occlusion ouverte, un sourire gingival et une incompétence labiale qui provoque une gingivite continue en plus d’un dysfonctionnement de la mastication.
À la clinique BIRBE, nous vous proposons un traitement orthodontique chirurgical combiné à une chirurgie bimaxillaire segmentée afin de résoudre le problème pour la vie.
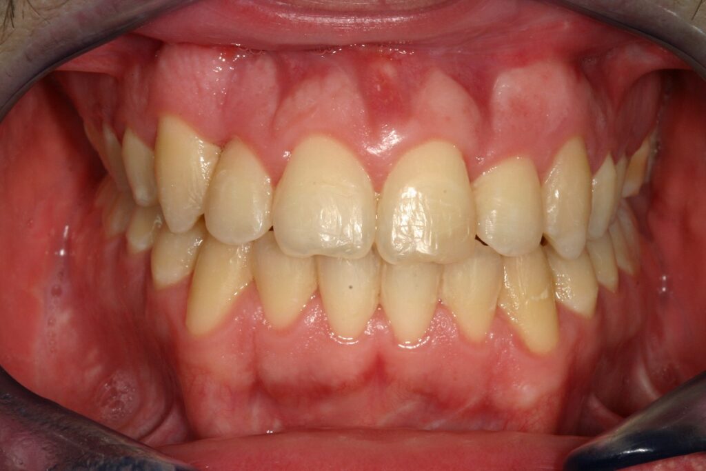
Nous commençons par aligner et niveler les dents. Comme il a eu recours à l’orthodontie dans sa jeunesse, la préparation orthodontique avant l’intervention chirurgicale sera désormais plus rapide, de sorte que nous pourrons réaliser l’intervention orthognathique segmentée bimaxillaire plus tôt et qu’il pourra constater l’amélioration faciale et dentaire plus rapidement.
Anciennement










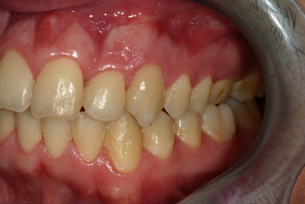
Dans ce cas










