
Sialorrea
Aunque popularmente se conozco más el Síndrome de la Boca Seca, lo cierto es que existe una patología que consiste precisamente en lo contrario, es

Aunque popularmente se conozco más el Síndrome de la Boca Seca, lo cierto es que existe una patología que consiste precisamente en lo contrario, es
Aunque el título del post sea ése, nos estamos refiriendo a la que ya conocemos como la cirugía ortognática o de las deformidades dentofaciales que

La craneosinosotosis es el cierre prematura de la sutura craneal del niño y que son precisamente las que se encargan de permitir el correcto funcionamiento

Una de las especialidades del Doctor Birbe y su equipo de profesionales médicos es la cirugía ortognática bimaxilar. Este tipo de cirugía es aquella en

Hoy queremos dar un poco más de luz a la patología de la neuralgia del trigémino, una enfermedad que hemos atendido bajo las directrices del

Esto es una información que clínica BIRBE te ofrece y espera que sea de tu interés. Un implante dental o varios se deben cuidar y

A pesar de que la implantología dental es un procedimiento quirúrgico muy seguro, son muchos los pacientes que todavía se muestran inseguros frente a esta
A continuación os dejamos el plan de tratamiento interdisciplinar y el programa de mantenimiento periodontal, llevados a cabo durante la fase correctora-rehabilitadora y tras la finalización del tratamiento,

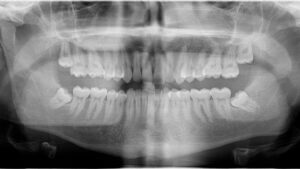
Como hemos mencionado en artículos anteriores, los dientes incluidos son aquellos que se quedan dentro de los maxilares porque no logran su erupción completa en

Sobre nosotros