
¿Para qué se utiliza el láser en odontología?
En la actualidad, el sector de la odontología utiliza el láser para realiza tratamientos contra la caries dental por ejemplo, enfermedad de las encías que

En la actualidad, el sector de la odontología utiliza el láser para realiza tratamientos contra la caries dental por ejemplo, enfermedad de las encías que

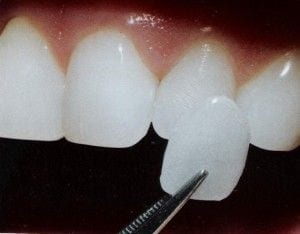
Tratamiento de estética dental con Carillas lumineers: una información que Clínica Birbe desea sea de tu interés. Son carillas de porcelana muy finas que se adhieren a los dientes

El pasado 4 de Julio tuvo lugar la clausura y entrega de diplomas a los 18 participantes del curso de implantes del COEC/ SCBCMO dirigido

Una información sobre la vinculación entre la actividad deportiva y la salud bucodental que Clínica Birbe desea que sea de tu interés. La relación

Los cambios en el esmalte dental causados por diversas causas puede producirse de forma extrínseca o intrínseca lo cual cambia la apariencia, posición e incluso

En el caso de las mujeres, los problemas de salud dental son my comunes en determinadas fases de su vida debido a la flutuación de

El mundo de la odontología tampoco está exento de curiosidades, por eso hoy os vamos a contar algunas de las más destacasas que probablemente no

Ultimos estudios publicados sobre la relación entre la higiene dental y la genética nos dejan resultados como que ambos factores influyen de forma decisiva en

Una información sobre los problemas más comunes que trata la cirugía oral y maxilofacial que Clínica Birbe desea que sea de tu interés. El rostro

Sobre nosotros