
Fisura dental
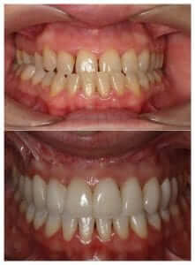
Seguro que conoces a alguien que sufre de algún diente fisurado o agrietado. Con los años no solo envejece nuestro cuerpo, nuestros dientes también lo

Seguro que conoces a alguien que sufre de algún diente fisurado o agrietado. Con los años no solo envejece nuestro cuerpo, nuestros dientes también lo

No pienses que al acabar tu tratamiento de ortodoncia está todo ya hecho. No, al finalizarla se pasa por un momento importante que dudará siempre,

Los besos, algo que nos encanta, una muestra de amor y cariño excitante, maravillosa, pero existen puntos importantes que debes conocer a nivel de enfermedades

¿ Sabías que hay dientes o molares que los tenemos dentro de nuestros maxilares pero no pueden llegar a erupcionar? Si, esos dientes o molares

¿Has oído hablar alguna vez de tratamiento multidisciplinar en odontología? Desde este blog te vamos a explicar que es. Cuando un paciente es multidiciplinar hablamos

Hace unos días el equipo de Clínica BIRBE por segundo año consecutivo colgó sus uniformes y salimos para realizar la segunda jornada de Team building.

Hoy desde este post hablaremos de la importancia del personal auxiliar en la consulta del cirujano maxilofacial. Cuando buscas un centro para realizarte este tipo
Como todos sabemos con una buena prevención podemos evitar una enfermedad así pues apliquemos esto a la salud bucal, evita desarrollar una patología como pueden

La endodoncia es un tratamiento conservador el cual consiste en retirar el nervio del interior del diente o del molar. Comento que es un tratamiento

Sobre nosotros