
Visita al dentista…¿Cuándo debo acudir?
Esta pregunta en ocasiones te las puedes llegar a preguntar…Puedes pensar…» no me duele ni molesta nada», » me lavo los dientes cada día después

Esta pregunta en ocasiones te las puedes llegar a preguntar…Puedes pensar…» no me duele ni molesta nada», » me lavo los dientes cada día después

El seno maxilar está localizado en el maxilar superior, es una pequeña membrana o mucosa que separa parte de la cavidad nasal del hueso del

Puede que algún día hayas oído hablar de Torus mandibular o de bultos que aparecen zonas específicas de la boca. Los médicos especialistas de Clínica

Uno de los tratamientos para recuperar la sonrisa, tenerla mas bonita y funcional son las carillas dentales, estos tratamientos se consideran tratamientos estrella dentro de

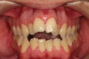
El prognatismo mandibular es una maloclusión, puede ser dentaria, pero va acompañada de problemas esqueléticos. Se caracteriza y lo reconocerás por la protusión de la

La forma en que mordemos y quedan colocados nuestros dientes es un factor muy importante, no solo estético si no funcional, si no tenemos una

Seguro que son muchas las ocasiones en las que habéis oído comentar a alguien que a su hijo o hija le tienen que «cortar el

Te voy hablar del diastema dental, el diastema es el espacio o separación entre dos o mas dientes. Los diastemas pueden estar en diferentes dientes

La primera visita que realices con el especialista es básica y marcará el resto si decides tratarte. Cómo paciente no solo buscas unos objetivos de

Sobre nosotros