
¿Por qué elegir la clínica Birbe y no otra?
Visitar al dentista a lo largo de nuestra vida es inevitable, por mucho que algunos lo quieran alargar. Por eso cuando llega ese momento, que

Visitar al dentista a lo largo de nuestra vida es inevitable, por mucho que algunos lo quieran alargar. Por eso cuando llega ese momento, que

Todos y cada uno de nosotros nos cepillamos los dientes cada día, pero debemos pensar que un diente o molar tiene más de una cara

Hoy en día hay muchas Clínicas Dentales y a veces lo complicado es escoger bien. Te voy hablar de Clínica BIRBE, de nuestros especialistas y

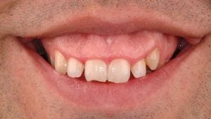
Hoy en este blog os voy hablar de la sonrisa gingival. Muchos pacientes acuden a Clínica BIRBE con varias preguntas sobre este tema. Una de
Muchos son los pacientes que acuden a Clínica BIRBE con varias preguntas sobre el lifting facial. Hoy te voy a explicar que es, en que
¿Eres de los que todavía cree que el bruxismo sólo se da en adultos? Estás muy equivocado, también existe lo que denominamos el bruxismo infantil
La belleza es subjetiva, por supuesto, sin embargo como expertos maxilofaciales no podemos evitar tener una gran pasión por la simetría. Cuando nos enfrentamos a

En este post Clinica BIRBE te hablaremos de la caries, se habla mucho de caries y no es para menos ya que es la enfermedad
Ya es una realidad y lo tenemos más cerca de lo que creemos. Se trata de un nuevo sistema de reconstrucción maxilofacial que permite diseñar

Sobre nosotros